Stiff joints and artificial joints in the fingers and wrist
If joints in the hand area get destroyed by accident or due to arthritis, so that other treatments no longer bear fruit, then the finger-end joints can be stiffened and artificial joints can also be used for the larger fingers and wrists.
Examples:
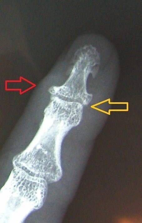
Finger-end joint stiffening and middle joint replacement in rheumatoid patients.
Left: Red Arrow: Horn-like deposits as an sign of osteoarthritis, yellow arrow: complete destruction of the joints, with inflammation and pain at rest and at work.
Middle and right: stiffening in the functional position with the V-tek regular screw. Eliminates pain and visually shows a satisfying result.
Below: End-joint stiffening in the index finger and middle-joint endoprosthesis in the middle finger
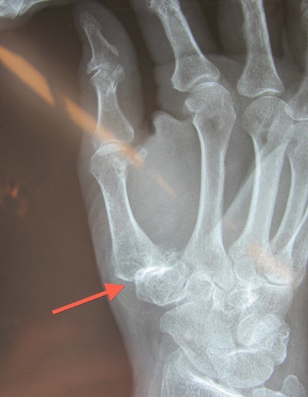
Joint replacement in the wrist area
Left: Severe osteoarthritis (abrasion, joint destruction) of the thumb-saddle joint
Middle: Replacement with a hemiarthroplasty pyrocarbon
Right: This patient had, in addition to the thumb-saddle joint osteoarthritis also signs of wear and instability between the wrist bones. She had severe pain and could not use her hand. We reinforced the pyrocarbon endoprosthesis by stiffening three wrist joints. The patient has been symptom-free for over 10 years now and can use her hand without any restrictions.








