Hand injuries
The hand is often injured. Soft tissues such as tendons and muscles may be affected and/or bones, ligaments and joints.
Here are 2 examples of bone injuries and their treatment.
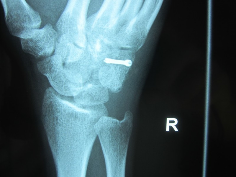
Fracture of the hamate bone
The young man (boxer) punched aggressively and once felt a sharp pain in the wrist.
After fitting and a 6 weeks cast, the patient was able to start training again.
Fracture of the fifth metacarpal bone.
This young man fell off the skateboard and broke his fifth metacarpal. The conducted cast immobilization in the emergency hospital was found to be ineffective, because the bone was flexed too much.
After the straightening and plating the injury healed very well.






